Advertisement

Mesothelioma Pet Ct / Radiologic Considerations And Standardization Of Malignant Pleural Mesothelioma Imaging Within Clinical Trials Consensus Statement From The Nci Thoracic Malignancy Steering Committee International Association For The Study Of Lung Cancer Mesothelioma / ct scans and mris for mesothelioma diagnosis.

Mesothelioma Pet Ct / Radiologic Considerations And Standardization Of Malignant Pleural Mesothelioma Imaging Within Clinical Trials Consensus Statement From The Nci Thoracic Malignancy Steering Committee International Association For The Study Of Lung Cancer Mesothelioma / ct scans and mris for mesothelioma diagnosis.. This phase ii trial studies how well pembrolizumab works in treating patients with malignant mesothelioma, a cancer of the linings around the lungs (pleura) or abdomen (peritoneum). Positron emission tomography (pet) scan: This retrospective study aimed to investigate the prognostic value of the suvmax in patients with mpm. Malignant pleural mesothelioma (mpm) is an aggressive thoracic malignancy with a dismal prognosis. The journal of thoracic disease indicates that not only does mesothelioma show up on a ct scan, but it is the preferred diagnostic tool of choice for advanced stage mesothelioma cases.

Positron emission tomography (pet) scan: When a ct scan is performed, patients may also undergo a pet scan. Most tumours arise from the pleura, and so this article will focus on pleural mesothelioma. Get help with your mesothelioma diagnosis today! A pet scan picture can give the physician a better idea if the thickening of the pleura seen on a ct scan is cancer or scar tissue.

Pet Ct In The Diagnosis Of Localized Malignant Pleural Mesothelioma Clinical Imaging
Pet Ct In The Diagnosis Of Localized Malignant Pleural Mesothelioma Clinical Imaging from els-jbs-prod-cdn.jbs.elsevierhealth.com
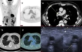
Early detection of the fatal and incurable mesothelioma and the later provision of radiation, surgical and palliative asbestosis treatments are known to help a patient to have the best possible chance to extend and enhance the quality of life remaining. Provide pertinent illustrative figures of pet/ct and ct for malignant pleural mesothelioma. This retrospective study aimed to investigate the prognostic value of the suvmax in patients with mpm. European journal of nuclear medicine and molecular imaging, 2014. pet/ct scan problem of pleural effusion therapy for mesothelioma sufferers early detection of the deadly and incurable. He underwent vats with pleural drainage, biopsy and extensive decortication. These imaging tests will show visual evidence of mesothelioma. Pathology revealed epithelioid type malignant mesothelioma involving parietal and visceral pleura with clear margins (stage pt1bn0).

Combining a pet scan with an mri or ct scan can help make the images easier to interpret.

European journal of nuclear medicine and molecular imaging, 2014. Given the presence of the mesothelium in different parts of the body, mesothelioma can arise in various locations 17:. At left is a ct scan, while the center image is a pet scan. Sensitivity, specificity and accuracy were respectively 86, 89 and 87%; The tumor originates from cells of the visceral or parietal pleural and is linked to asbestos exposure with a median latency of 44.6 years .due to the latency between exposure and onset of mesothelioma and the ongoing use of asbestos in parts of the world, the incidence is expected to rise. Current perspectives maria bonomi,1 costantino de filippis,2 egesta lopci,3 letizia gianoncelli,1 giovanna rizzardi,4 eleonora cerchiaro,1 luigi bortolotti,4 alessandro zanello,2 giovanni luca ceresoli1 1department of oncology, thoracic and gu oncology unit, 2department of radiology, cliniche humanitas gavazzeni, bergamo, 3nuclear medicine. Kazuhiro kitajima, hidetoshi matsuo, atsushi kono, kozo kuribayashi, takashi kijima, masaki hashimoto, seiki hasegawa, takamichi murakami, koichiro yamakado. The qualitative assessment was statistically different (p=0.0020, χ). Have been diagnosed with mesothelioma, your doctor may use this test to see if the cancer has spread to lymph nodes or other parts of the body. pet scans are often paired with ct scans to provide doctors with the most accurate view of a patient's body: A tissue biopsy will finalize whether or not a patient has this cancer. It can help identify the best therapies to control the cancer while maximizing quality. When a ct scan is performed, patients may also undergo a pet scan.

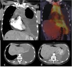
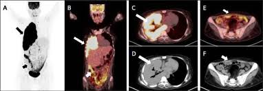
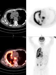
191 all treatments were planned based on ct and pet/ct imaging. Given the presence of the mesothelium in different parts of the body, mesothelioma can arise in various locations 17:. pet/ct scan problem of pleural effusion therapy for mesothelioma sufferers early detection of the deadly and incurable. A pet scan is the best method to determine if mesothelioma has spread to other parts of the body. pet/ct did not show any abnormal fdg uptake in the right pleura or remainder of the chest.

Fdg Pet Ct Images Malignant Pleural Mesothelioma Of The Right Pleural Download Scientific Diagram
Fdg Pet Ct Images Malignant Pleural Mesothelioma Of The Right Pleural Download Scientific Diagram from www.researchgate.net
Doctors can even use it to find out if a tumor has spread to lymph nodes that are far from where the mesothelioma first appeared. Symptoms or abnormalities not consistent with the initial. Introductionmalignant mesothelioma is a neoplasm arising from pleural and peritoneal cells, including pericardium and tunica vaginalis testis, and often characterized by a poor prognosis. pet was positive in 12/14 patients with epithelioid peritoneal mesothelioma. Discuss the advantages and limitations of pet/ct in diagnosis and assessment of therapy. You will need to provide a safe and quiet space for your pet, away from active children or other animals while it recovers. Because treatment options are limited and hope for a full recovery is still something that researchers are working on, a diagnosis of mesothelioma can be discouraging, disheartening and downright devastating for patients and their families. A pet scan picture can give the physician a better idea if the thickening of the pleura seen on a ct scan is cancer or scar tissue.

This phase ii trial studies how well pembrolizumab works in treating patients with malignant mesothelioma, a cancer of the linings around the lungs (pleura) or abdomen (peritoneum).

Malignant pleural mesothelioma (mpm) is the most common, whereas malignant peritoneal mesothelioma accounts only for. Xie peng 1, wang wei 2 & Introductionmalignant mesothelioma is a neoplasm arising from pleural and peritoneal cells, including pericardium and tunica vaginalis testis, and often characterized by a poor prognosis. You will need to provide a safe and quiet space for your pet, away from active children or other animals while it recovers. A pet scan can also be useful if your doctor thinks the cancer may have spread but doesn't know where. Everything you need know mesothelioma life! Early detection of the fatal and incurable mesothelioma and the subsequent provision of radiation, surgical and palliative asbestosis treatments are known to help a patient to have the best possible chance to extend and improve the quality of life remaining. A pet scan is the best method to determine if mesothelioma has spread to other parts of the body. 191 all treatments were planned based on ct and pet/ct imaging. pet/ct is superior to other imaging modalities for evaluation of distant metastatic disease of mpm given its whole. Tongue metastasis was the first sign of malignant pleural mesothelioma detected by pet/ct. During the diagnostic process, imaging tests help identify tumors, tumor location and metastasis of cancer. When a ct scan is performed, patients may also undergo a pet scan.

These tests are critical in diagnosing mesothelioma cancer. Early detection of the fatal and incurable mesothelioma and the subsequent provision of radiation, surgical and palliative asbestosis treatments are known to help a patient to have the best possible chance to extend and improve the quality of life remaining. Positron emission tomography (pet) scan: A short summary of this paper. A pet scan picture can give the physician a better idea if the thickening of the pleura seen on a ct scan is cancer or scar tissue.

P3 03 025 Investigating Phenotypic And Genomic Heterogeneity In Malignant Pleural Mesothelioma Journal Of Thoracic Oncology
P3 03 025 Investigating Phenotypic And Genomic Heterogeneity In Malignant Pleural Mesothelioma Journal Of Thoracic Oncology from els-jbs-prod-cdn.jbs.elsevierhealth.com
Since pet scans only show the where the most tracer fluid was collected, they are an excellent tool for determining how far mesothelioma has spread. These tests are critical in diagnosing mesothelioma cancer. Imaging is important in diagnosing mesothelioma.it will provide information such as the extent of disease in the original organ and also show if the cancer has spread to. Early detection of the fatal and incurable mesothelioma and the subsequent provision of radiation, surgical and palliative asbestosis treatments are known to help a patient to have the best possible chance to extend and improve the quality of life remaining. mesothelioma, also known as malignant mesothelioma, is an aggressive malignant tumour of the mesothelium. Tongue metastasis was the first sign of malignant pleural mesothelioma detected by pet/ct. The tumor originates from cells of the visceral or parietal pleural and is linked to asbestos exposure with a median latency of 44.6 years .due to the latency between exposure and onset of mesothelioma and the ongoing use of asbestos in parts of the world, the incidence is expected to rise. ct scans and mris for mesothelioma diagnosis.

Everything you need know mesothelioma life!

Everything you need know mesothelioma life! Some machines can do both a pet and ct scan at the same time. The qualitative assessment was statistically different (p=0.0020, χ). Malignant pleural mesothelioma (mpm) is the most common, whereas malignant peritoneal mesothelioma accounts only for. A short summary of this paper. Doctors can make a metastatic mesothelioma diagnosis through radiology imaging scans such as mri, ct or pet. Kazuhiro kitajima, hidetoshi matsuo, atsushi kono, kozo kuribayashi, takashi kijima, masaki hashimoto, seiki hasegawa, takamichi murakami, koichiro yamakado. Since pet scans only show the where the most tracer fluid was collected, they are an excellent tool for determining how far mesothelioma has spread. European journal of nuclear medicine and molecular imaging, 2014. 191 all treatments were planned based on ct and pet/ct imaging. Doctors analyze imaging scans and tissue or fluid samples to diagnose mesothelioma. Malignant pleural mesothelioma (mpm) is an aggressive thoracic malignancy with a dismal prognosis. ct scans and mris for mesothelioma diagnosis.

Post a Comment

0 Comments